Case Presentation
A 53-year-old woman presents to the emergency department with three days of worsening dysphagia, odynophagia, and muffled voice. The patient is ten days status post adenotonsillectomy with inferior turbinate reduction for chronic tonsillitis and obstructive sleep apnea. The patient tells her history by writing on a piece of paper since speaking is too painful. She reports that she initially felt better after the surgery, but three days ago started to develop difficulty eating and drinking and noticed voice changes. She has been taking ibuprofen for her symptoms until this morning when she could no longer tolerate it because she felt like she was choking.
Vitals signs include blood pressure 136/82, heart rate 134, respiratory rate 18, oxygen saturation 99% on room air, and oral temperature 37.8 degrees Celsius. On exam, she appears unwell and is holding her head up off the bed refusing to put her head back on the stretcher. She is also refusing to move her neck secondary to discomfort.
She has dry mucous membranes, uvula is midline and without edema. She does has a gray exudate in the bilateral tonsillar fossa without bleeding. She has two-finger trismus. Trachea is midline. She has tenderness to palpation along the submandibular area along the right sternocleidomastoid without any fluctuance or skin changes. Bilateral anterior and posterior cervical lymphadenopathy. Lungs are clear to auscultation and there is no stridor present. After reviewing the chart, you wonder what could be causing the patient’s symptoms?
Background
Diagnosing deep space neck infections is important since they can cause respiratory compromise. A differential including peritonsilar abscess, retropharyngeal abscess, Ludwigs angina, epiglottitis, meningitis, and Lemierre syndrome should be considered in the patient who presents with trismus, muffled voice and limited neck mobility.
Pathophysiology
The retropharyngeal space extends from the base of the skull to the tracheal bifurcation and lies anterior to the prevertebral fascia. Most retropharyngeal abscesses occur in children under the age of 5 because children have more retropharyngeal lymph nodes. Typically, a child will have an upper respiratory tract infection, which leads to a suppurative cervical lymphadenitis causing a retropharyngeal abscess. In adults, the diagnosis of retropharyngeal abscess is less common and is usually caused by posterior pharynx trauma that introduces bacteria to the retropharyngeal space leading to phlegmon and abscess formation.
Typically this infection is polymicrobial with Streptococcus pyogenes, Staphylococcus aureus, Fusobacterium, Haemophilus species and other respiratory anaerobic organisms playing a large role in the development of the symptoms. The leading cause of death in patients with a retropharyngeal abscess is airway obstruction and asphyxiation. Additionally, in adults, it is more likely for this infection to extend into the mediastinum compared with children. 1,2
Clinical Features
Distinguishing retropharyngeal abscess from uncomplicated pharyngitis relies on several historical features. The presence of dysphagia, odynophagia, inability to tolerate oral secretions, neck stiffness, torticollis, changes in voice, trismus, neck swelling, cervical lymphadenopathy, stridor, tachypnea, and retractions are all red flag symptoms that indicate upper aerodigestive obstruction.1,2
Imaging
Lateral neck plain films can be used as a screening modality, particuluarly in children. A study performed by Nagy, which looked at 57 children ages 1-10 years old who had a high index of suspicion (i.e. only included patients with fever, limited neck range of motion, lateral neck mass, dysphagia and leukocyte count greater than 15,000 cells/mm3) for deep-neck infection, found latral neck plain films to have an 83% sensitivity. Widening of prevertebral space is consistent with a retropharyngeal abscess. In an adult, normal pervertebral space should be >6mm at C2 and >22mm at C6.

Figure 1: In this patient, the prevertebral space in front of C6 is 35 cm, which is greater than the normal prevertebral space of 22cm. This indicates soft tissue swelling consistent with a retropharyngeal abscess.
However, CT with IV contrast is the preferred imaging method in these patients. CT can delineate the abscess laterally to determine if there is involvement of the carotid sheath and inferiorly to determine if there is involvement with the mediastinum. Additionally, it aids in planning the surgical approach whether externally or transorally.

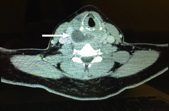
Figure 2: Evidence of retropharyngeal abscess on the right side pushing the larynx slightly to the left.
Management
The cornerstone of treatment is airway management, intravenous antibiotics, admission, and consultation with otolaryngology for surgical drainage. Typically abscesses greater than 2 cm will require the operating room for incision and drainage, while smaller abscesses might resolve conservatively with IV antibiotics.
Laboratory evaluation including complete blood count and blood cultures should be obtained. As this infection is polymicrobial, first choice in antibiotics is clindamycin or ampicillin-sulbactam (Unasyn).1
These patients should be admitted to the ICU for close airway monitoring. If the abscess is causing airway compromise the patient should be intubated for airway protection.
Outcome:
For this patient, an otolaryngologist was consulted after the CT scan revealed a retropharyngeal abscess. She was started on intravenous clindamycin, steroids, and fluids. She was admitted to the surgical ICU for surgical drainage in the morning. The patient did well and was discharged home 3 days later with a course of oral clindamycin.
Author: Alison Panosian, MD – PGY3
FOAMed Links
- Managing Retropharyngeal abscesses PEM Currents episode 32, 2013
- Strep Throat Mimics: Pearls & Pitfalls emDocs 2016
- Retropharyngeal Abscesses (in children) Pediatric EM Morsels 2010, updated 2012
- Trismus and Restricted Mouth Opening Life in the Fast Lane 2017
- References
- http://www.emdocs.net/strep-throat-mimics-pearls-pitfalls/
- Tintinalli J, et al. Tintinalli’s Emergency Medicine: A Comprehensive Study Guide, 8th Edition. McGraw-Hill, 2015.
- P.M.Marques,J.E.Spratley,L.M.Leal,E.Cardoso, and M. Santos, “Parapharyngeal abscess in children: five year retrospective study,” Brazilian Journal of Otorhinolaryngology; vol. 75, no. 6, pp. 826–830, 2009.
- Harkani A, Hassani R, Ziad T, et al. Retropharyngeal Abscess in Adults: Five Case Reports and Review of the Literature. The Scientific World Journal. 2011;11:1623-1629. doi:10.1100/2011/915163.
- 5. Nagy M. & Backstrom J. (1999) Comparison of the sensitivity of lateral neck radiographs and computed tomography scanning in pediatric deep-neck infections. Laryngoscope 109, 775–779
- https://radiopaedia.org/articles/perivertebral-space
- Khudan A, Jugmohansingh G, Islam S, Medford S, Naraynsingh V. The effectiveness of conservative management for retropharyngeal abscesses greater than 2 cm. Annals of Medicine and Surgery. 2016;11:62-65. doi:10.1016/j.amsu.2016.10.001