Author: Karen Custodio, DO, Emergency Medicine Resident, PGY-1
Fellow: Richard Chen, MD, Medical Toxicology Fellow, PGY-5
Faculty: James Krueger, MD, Medical Toxicology/Emergency Medicine Attending
The Case:
You are working a Saturday morning shift at the Emergency Department (ED) in a Philadelphia hospital when a 23-month-old male presents with one episode of hematemesis. The patient attends day care 4 days a week and has been noted to have a cough with scant hemoptysis for 2 days. Otherwise, the patient has been tolerating PO, and has had no other apparent symptoms. The parents report that no one has been sick at home and the patient’s immunizations are up to date.
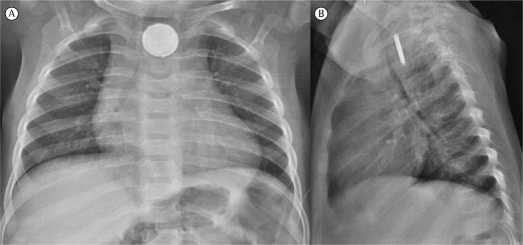
On physical exam, vitals are notable for temperature of 99.7oF, heart rate 110 bpm, blood pressure 100/60 mmHg, respiratory rate 22/minute, and oxygen saturation of 95% on room air. Capillary refill time is 3.5 seconds. The patient is awake and alert but is tired appearing and pale. You observe the patient cough intermittently throughout the exam, but otherwise is sitting upright in mom’s lap without apparent distress. Lung exam demonstrates equal breath sounds and no wheezing or audible stridor. Examination of the nares and throat does not show any blood. There is no pain elicited from abdominal palpation. Though his symptoms appear consistent with an upper respiratory infection, the hemoptysis warrants a chest x-ray, which is shown below.

image: https://rebelem.com/button-battery-ingestion/
Learning Point 1: The Difficult Diagnosis
Button battery ingestion is a serious risk in the pediatric patient. The National Battery Ingestion Hotline (NBIH) reports that there are 1.5 battery ingestion cases per 10,000 children in the U.S. each year, with serious outcomes in 2.7% of all ingestions. Though the number of ingestions has been relatively stable over the last 10 years, the number of ingestions that result in moderate, major or fatal outcomes has increased.
“Button batteries,” “coin cell batteries,” or “coin batteries” all describe small cell type, disc shaped batteries that differ in size and voltage. They can be 5-25mm in diameter and 1-6mm thick and be 1.5V or 3.0V. The active portion of the battery consists of an anode and a cathode. The anode is usually made of Zinc or Lithium, while the cathode can be made of a variety of chemicals including manganese dioxide, silver oxide, and manganese dioxide. Button batteries vary in size and voltage. Overall, 20 mm 3V Lithium button batteries are the most common cause of serious injury.
Symptoms can vary initially and mimic typical foreign body ingestion in pediatric patients (i.e. cough, drooling, dysphagia, stridor). Additionally, patients can ingest button batteries and be asymptomatic for several days. These patients often present later with symptoms of anorexia, vomiting, chest discomfort, or fever. Hematemesis, hemoptysis, hematochezia, or melena are concerning for sentinel bleed and serious compilations, such as mucosal ulceration, esophageal perforation, tracheal-esophageal fistula, and aorta-esophageal fistula.
Initial management is supportive care, with special attention to patients who are exhibiting signs of shock, hematemesis, or airway obstruction and require resuscitation. All patients should be kept NPO until battery is localized. In stable patients, an X-ray should be obtained immediately to determine the location of the button battery. X-ray will show a “halo,” or “double ring” sign in the AP view and a “step off” sign in the lateral view. This is created by the anode can sitting atop the larger cathode can and can be helpful in distinguishing a button battery from a coin, or other flat, radiopaque foreign body. The most likely point where a button battery will get stuck is at the level of the cricoid cartilage, followed by at the level of the carina and aortic arch and remainder getting stuck at the lower-esophageal junction.
Airway compromise is a serious complication of any foreign body ingestion and when it involves the pediatric population, it is important to remember key physiologic differences in the airway of a younger pediatric patients versus an adult. The most likely location for a foreign body to get stuck is at the thoracic inlet, or the level of the cricoid cartilage because this is the most narrow portion of the airway in young patients. Significant obstruction can be signified by audible stridor, but lack of stridor does not rule out significant obstruction. The epiglottis is less rigid and more “U” shaped than adults, and may not be completely lifted with a typical MAC blade, requiring use of straight laryngoscopes, such as the Miller blade to lift the epiglottis directly. Lastly, the trachea is much more flexible, as calcification of the tracheal rings does not occur until adolescent age.
The Case Continued:
Radiology reads the AP and Lateral chest X-ray as a button battery lodged in the patient’s esophagus. The ED team calls poison control, who refers them to the Button Battery Ingestion Algorithm. The patient is made NPO and further history is obtained. The father remembers earlier that morning he had noticed the patient playing with a musical greeting card, which now no longer makes music. He checked the card and found that the button battery inside the card was missing.
Learning Point 2: Caustic Alkali Injury and Mitigation Strategies

There are three proposed mechanisms to explain how button batteries produce tissue damage – generation of electrical current, leakage of battery contents, and pressure necrosis. Studies have shown that the pressure on tissue is not enough to cause the observed extent of tissue damage and leakage of battery contents is also unlikely to produce acute tissue damage. Evidence suggests that the likely mechanism is due to the electrical current producing hydroxide anions at the negative pole of the battery. The soft tissue surrounding the battery completes an electrical circuit. The flow of electrons results in hydrolyzation of water into hydroxide (OH-) ions and hydrogen gas (H2) via electrolysis. The OH- ions produce an alkaline solution at the area near the negative terminal, leading to liquefactive necrosis.
If removal cannot be performed immediately, or the patient is far from the hospital, there are mitigating strategies that have been shown to reduce the degree of tissue damage.
In a study performed at the Children’s Hospital of Philadelphia they found that honey and Carafate were most effective at reducing injury severity in button battery ingestion. The likely mechanism is thought to be temporary neutralization of the alkaline solution because of the weakly acidic and viscous properties of honey and Carafate. It is important to note that this is only a temporizing measure until definitive removal of the battery. As long as the battery remains in contact with tissue, it will continue to produce hydroxide ions and subsequent tissue damage.

Case Resolution:
A pediatric GI specialist is consulted and they perform an emergent endoscopy. The button battery is visualized in the distal esophagus, and removed. Because of quick actions by the emergency department team, some ulceration is noted, but the bleeding is easily controlled. The patient was observed overnight, and scheduled for follow up for reevaluation with GI to monitor for delayed complications, such as fistula formation, vocal cord paralysis, tracheal stenosis, dysphagia, or strictures
Learning Point 3: Consult the specialist early
The most important aspect of management is time. In less than one-minute, electric discharge from a button battery can raise the pH of the surrounding tissue to 11. Studies have shown that visible injury is noted in 15 minutes, and significant damage and perforation can occur in as little as 2 hours. Therefore, button battery ingestion should be on the differential, especially in the pediatric patient, to quickly identify this “can’t miss” diagnosis.
Button battery ingestion is an emergency, and the decision to consult a specialist should be made quickly. If the button battery is inserted in the nostrils, or remains in the proximal portion of the esophagus or throat, ENT consultation may assist with direct visualization and removal. If the x-ray localizes the button battery to the distal esophagus, GI or pediatric surgery should be made aware. If hemodynamically unstable, surgery consult should be considered given the high risk of perforation of hollow viscus and/or blood vessels. Patients should continue to follow with GI even after button battery removal to monitor for long term complications such as fistula, delayed perforation (up to 28 days), or esophageal strictures.
Co-ingestion of a magnet with the battery warrants emergent GI or surgical consultation. The interaction between the battery and the magnet can result in bowel obstruction, bowel necrosis and perforation.
If the patient is > 12 yo, clinically asymptomatic after ingestion of a single battery <12 mm, with no preexisting esophageal disease, the battery has passed the esophagus into the stomach and either they or their caregiver have reliable follow up – the decision can be made to discharge a patient home. It is recommended to monitor for passage of the battery in stool, or if no passage occurs, have a repeat x-ray in 10-14 days. Patients should be evaluated for removal of the battery if they begin to display symptoms. Parents should be given strict return precautions to bring the patient back to the emergency room.
Take Away Points:
- Button battery ingestion is extremely dangerous, with necrosis and perforation from corrosive alkali injury occurring in as little as 2 hours.
- Esophageal button batteries should be removed as soon as possible – ideally within 2 hours of presentation
- Most common site for foreign bodies to get lodged is at the level of the cricoid cartilage.
- If access to definitive treatment is delayed, patient may be treated with 10 mL of honey every 10 minute (max 6 doses), or Carafate (Sucralfate) 10 mL every 10 minutes (max 3 doses). Mildly acidic compounds like orange juice or lemon juice have also been shown to reduce alkaline tissue environment.
- Consider button batter ingestion in child who presents with cough, hemoptysis, chest pain, hematemesis, pain, or signs of airway obstruction.
References
Shelton, Alisha. Toxicology Today. Utah Poison Control Center. https://poisoncontrol.utah.edu/newsletters/pdfs/toxicology-today-archive/Vol13_Iss4.pdf
Long, Neil. Barker, Ruth. Life in the Fastlane. “Button Battery Update.” Nov 3, 2020. https://litfl.com/button-battery-update/
National Battery Ingestion Hotline. https://www.batteryingestionhotline.com/
Anand Swaminathan, “Button Battery Ingestion”, REBEL EM blog, September 4, 2017. Available at: https://rebelem.com/button-battery-ingestion/.
Jatana KR, Rhoades K, Milkovich S, Jacobs IN. Basic mechanism of button battery ingestion injuries and novel mitigation strategies after diagnosis and removal. Laryngoscope. 2017;127(6):1276-1282. doi:10.1002/lary.26362
Anfang RR, Jatana KR, Linn RL, Rhoades K, Fry J, Jacobs IN. pH-neutralizing esophageal irrigations as a novel mitigation strategy for button battery injury. Laryngoscope. 2019;129(1):49-57. doi:10.1002/lary.27312
Marcus, Steven. Button Batteries: Tiny But Dangerous. Poison Prevention Press. Maryland Poison Center. January/February 2016. https://www.mdpoison.com/media/SOP/mdpoisoncom/PP-Press/2016/PPPress_ButtonBatteries_Jan-Feb2016.pdf
Conners GP, Mohseni M. Pediatric Foreign Body Ingestion. [Updated 2020 Nov 21]. In: StatPearls [Internet]. Treasure Island (FL): StatPearls Publishing; 2021 Jan-. Available from: https://www.ncbi.nlm.nih.gov/books/NBK430915/